
Mathias Klingenberg
Journalist
TU er avhengig av tips fra leserne. Har du innspill til denne saken? Tips meg gjerne på mathias@tu.no.
Mine artikler
Bare det nye stålbygget kollapset i Sola-brannen. Tysk firma hadde ansvaret for konstruksjonssikkerhet
24. jan. 2020

Dobbel plastkork på juiceflaske provoserer: – Som å pakke dritt inn i sølvpapir og kalle det konfekt
16. jan. 2020

Gladnyhet til strømsugne elbilister: I 2019 ble det virkelig fart på byggingen av hurtigladere
10. jan. 2020

Brannvesenets hovedteori: Ingen elbil-batterier tok fyr i Sola-brannen
9. jan. 2020

Sola-brannen: Avinor fikk prosjektert lavere brannmotstand enn anbefalt
8. jan. 2020

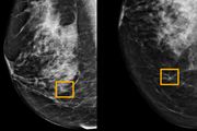
Google har utviklet kunstig intelligens som gjenkjenner brystkreft bedre enn radiologer
6. jan. 2020

Den ene lager et ellevilt lysshow. Den andre bruker Alexa for å forvandle boligen til et julehus
25. des. 2019

Nytt rekordår for Elbil-Norge: Her er oversikten over nyhetene du faktisk kan kjøpe i 2020
24. des. 2019

Denne roboten kan lage julemiddag og ta oppvasken samtidig
21. des. 2019

Om natta lytter de fram lekkasjer i gata. Om dagen kjemper de for å ikke bli erstattet av ny teknologi
21. des. 2019

Stor guide: Unngå å gi bort brannfeller - fire fyldige tips for kjøpe og håndtere litium-baserte batterier
16. des. 2019

Distribusjonsproblemet er løst: Prisbomben av en el-SUV kommer til Norge neste måned
12. des. 2019

Forbrukertilsynet: Lexus driver villedende hybridbil-markedsføring
9. des. 2019

Ventelista var full for ett år siden. Nå kommer endelig flere Kia e-Niro til Norge
7. des. 2019

Lexus påstår strømmen i hybridene deres koster «absolutt ingenting»: – Reinspikka løgn, mener klager
4. des. 2019

Nå nærmer batteriprisen seg fossilbilnivå
3. des. 2019

De har analysert verdens 25 elbilhovedstader: Kina dominerer, men Bergen hadde høyeste elbilandel i fjor
29. nov. 2019

Analyse
Blir virkelig russiske kuer lykkeligere av å bruke VR-briller, og blir melka av bedre kvalitet? Vi sjekket historien
27. nov. 2019

En 22,5 gram tung boks på brillestangen gjør at Robert og Johanne følger undervisningen
23. nov. 2019

Ingen varmepumpe i el-Mustangen: Dersom det virkelig hadde gjort en forskjell, ville vi inkludert det, sier Ford
18. nov. 2019
